Are you self-conscious about your profile or experiencing jaw discomfort? You aren’t alone. Overbites are one of the …
Are you self-conscious about your profile or experiencing jaw discomfort? You aren’t alone. Overbites are one of the …
If your dentist just mentioned the words “surgical extraction,” it’s completely normal to feel a little knot in …
Living with constant jaw tension, clicking sounds, or chronic headaches can drain your energy and affect your quality …
Finding out that a dental implant isn’t healing the way it should is a heavy experience. You put …
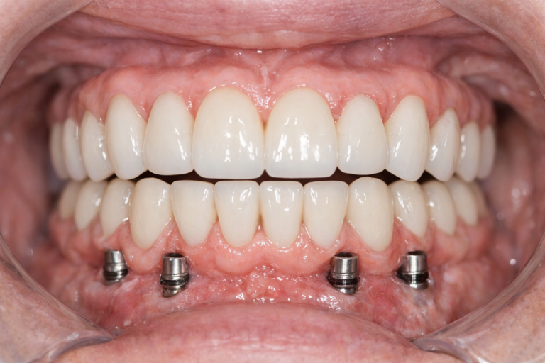
Deciding to replace all of your teeth is a deeply personal and often emotional journey. It is about …
Deciding how to restore your smile is a deeply personal journey. At Golden Dental, we understand that this …
If you have been told your jawbone is "too thin" for dental implants, it can feel like a …
Starting the path toward a straighter smile is a big milestone. Whether you are looking into traditional braces …
Choosing how to treat advanced gum disease is a big decision that affects your health, your appearance, and …
Maintaining a healthy smile involves more than just keeping your teeth white. The true foundation of your oral …